Reza Tavasoli
Ph.D. Researcher in Computer Science
I am a Ph.D. researcher at the University of South Carolina working at the intersection of AI and high-frequency wireless sensing (millimeter-wave). My research builds end-to-end pipelines, from hardware prototyping and continuous data acquisition to signal processing and deep learning, to enable contactless sensing for healthcare monitoring, safety, and autonomous perception. I also evaluate LLM behavior for computing education, multilingual NLP (Persian), and mental health to inform human-centered AI systems.
Programming
Python, MATLAB, C/C++
Libraries & Frameworks
NumPy, PyTorch, Keras/TensorFlow, OpenCV
Machine Learning
CNNs, LSTMs, GANs (cGAN), Transformers (ViT), LLM evaluation, Multimodal ML
Sensing & Signal Processing
mmWave radar (FMCW), radar heatmaps/point clouds, motion compensation, sensor fusion (mmWave + camera/LiDAR)
NLP & Evaluation
ROUGE, BERTScore, multilingual evaluation, sentiment/emotion analysis
Soft Skills
Problem solving, research communication, collaboration
- Ph.D. in Computer ScienceUniversity of South Carolina (CSE)Dissertation (in progress): Deep Learning-Enhanced Millimeter-Wave Sensing for Quality Assessment, Autonomous Perception, and Healthcare Monitoring
- M.Sc. in Computer Science (concurrent with Ph.D.)University of South Carolina (CSE)
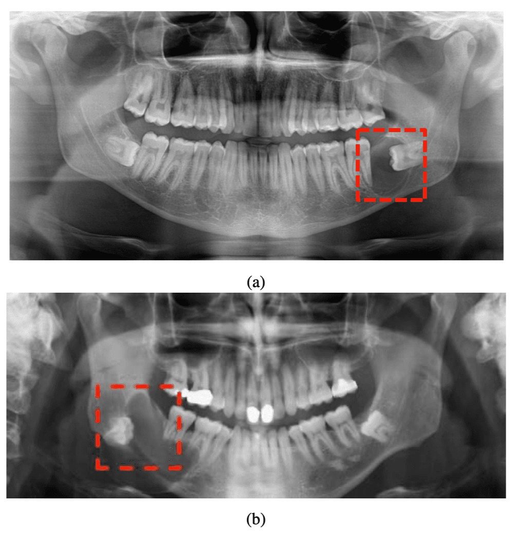
- B.Sc. in Computer EngineeringAmirkabir University of TechnologyB.Sc. Thesis: Design of a Dentigerous Lesion Detection System from Radiographic Images Using Deep Learning
- Graduate Research Assistant, University of South CarolinaAdvisors: Dr. Sanjib Sur; Dr. Srihari NelakuditiDissertation: Deep Learning-Enhanced Millimeter-Wave Sensing for Quality Assessment, Autonomous Perception, and Healthcare Monitoring
- Built end-to-end mmWave sensing pipelines (data acquisition -> signal processing -> deep learning -> evaluation) spanning healthcare monitoring, safety, and autonomous perception.
- Developed and hardened a long-term, continuous data collection system (custom 3D-printed mount; mmWave board + camera + mini-PC) deployed in two Prisma Health hospitals under IRB-approved studies (bed entry/exit fall-risk monitoring; sleep-apnea episode detection).
- Proposed mmWave systems for fruit quality assessment: achieved median SSC estimation error 1.4 deg Bx on real fruits (SugarWave / SSCense).
- Developed mmWave-based 3D bounding box prediction for vehicles/pedestrians under adverse conditions; reported mAP 0.64 @ IoU=0.5 and median IoU up to 0.75 (AutoSense / MiHazeFree3D).
- Co-developed a contactless stroke-recovery monitoring pipeline for gait speed and Fugl-Meyer action duration estimation with correlation R=0.99 and gait-speed error mean/SD 0.03/0.02 m/s for stroke survivors.
- Graduate Instructional Assistant, University of South CarolinaCourse: CSCE 416 - Introduction to Computer Networks
- Supported course delivery through office hours, grading, and student mentorship on core networking concepts (TCP/IP, routing, congestion control).
Clinical mmWave Sensing for Inpatient Monitoring (Fall Risk & Sleep Apnea)
- Co-Investigator on Prisma Health IRB study: Ability of Contactless Sensor to Accurately Identify Bed Entry and Exit for Patients at High Risk for Fall on Inpatient Unit (Laurens County Hospital; Ref. #2273813-1).
- Sub-Investigator on Prisma Health IRB study: Ability of Contactless Sensor to Detect Obstructive Sleep Apnea Episodes in Inpatients Validated With SleepSMART (Richland Hospital; Ref. #2366163-1).
- Implemented a robust sensing platform using safe 60 GHz mmWave signals with local storage (no Wi-Fi/Internet) and privacy-preserving video (blurred) for timing and ground truth.
VolumeSense (SPARC-funded): Camera-Free Body Volume Estimation with mmWave
- PI/Student recipient of a SPARC Graduate Research Grant to develop a contactless and camera-free system for precise body volume estimation using mmWave sensing (VolumeSense).
- Goal: translate AI-driven mmWave sensing into clinically relevant anthropometric measurements for longitudinal health monitoring.
SugarWave / SSCense: Non-destructive Fruit Soluble Sugar Content (SSC) Estimation
- Built a low-cost mmWave sensing system for estimating fruit SSC (ripeness/quality control) without cutting fruit.
- SugarWave evaluated 450 sugar-solution samples and 404 fruit samples (101 fruits x 4 orientations), achieving median SSC error 1.4 deg Bx on real fruits and 0.52 deg Bx on sugar solutions.
- Designed a conditional GAN-based pipeline to learn a mapping from fruit reflections to the latent features of sugar solutions, improving generalization across fruits and orientations.
MiHazeFree3D / AutoSense: mmWave-Based 3D Bounding Boxes for Autonomous Perception
- Developed deep learning architectures for predicting 3D bounding boxes of vehicles/pedestrians from mmWave radar signals in challenging environments (fog, rain, low light).
- AutoSense reports median IoU up to 0.75 for vehicles and mAP 0.64 @ IoU=0.5; uses a cascaded radar (12 Tx, 16 Rx) and phase-based motion-error correction.
- MiHazeFree3D was trained on 16,000 real-world samples collected over 100 miles of urban driving (mmWave radar + stereo camera + LiDAR ground truth).
Contactless Stroke Recovery Monitoring: Gait Speed & Fugl-Meyer Action Duration
- Built a contactless sensor pipeline to estimate gait speed and action durations in Fugl-Meyer assessments using RF reflections and spatiotemporal filtering.
- Achieved high correlation with manual gait-speed measurements for stroke survivors (R=0.99, error mean/SD 0.03/0.02 m/s) and accurately estimated lower-extremity FM action duration (mean errors 0.60 s stroke survivors; 0.53 s controls).
LLM Evaluation for Education, Multilingual NLP, and Mental Health
- Graduate entrance exams (CS): evaluated LLMs on graduate-level computer science questions; reported up to 75% accuracy for GPT-4o and analyzed cross-lingual (English vs. Farsi) performance gaps.
- Mathematical reasoning: tested 6 LLMs on 146 multiple-choice math questions (Persian and English); best performance was 63.7% (English, Gemini 1.5 Pro) and 52.0% (Persian, Claude 3.5).
- Persian news summarization: evaluated 8 LLMs on 100 news articles; Llama-3.1 405B achieved best reference-based scores (BERTScore F1 50.60, ROUGE-L 33.96).
- AI in mental health: analyzed sentiment and emotions in 2,880 LLM responses to depression, anxiety, and stress prompts across 6 user profiles, finding consistent dominance of optimism, fear, and sadness patterns across models.
- MBTI and career analytics: performed a meta-analysis of 30 studies (18,264 participants) to explain MBTI type prevalence in computer-industry careers using Jungian cognitive functions.
Hybrid Attention Vision Transformer for Dentigerous Cyst Detection (HA-ViT)
- Proposed a hybrid ViT pipeline for dentigerous cyst detection in panoramic dental radiography using dual-path learning (global image + lesion-focused region), achieving 94.44% accuracy, 90.64% sensitivity, 96.74% specificity, and AUC-ROC 0.9829.
- SPARC Graduate Research Grant Program - $4,866 (2025)Proposal #155900-25-70625: SPARC: Reza Tavasoli: VolumeSense: A Contactless and Camera-Free Technology for Precise Body Volume Estimation
- UofSC CSE Research Symposium - 3rd Place Poster ($100 share of $200 award) (2024)MilliCar: Accurate 3D Bounding Box Prediction of Vehicles and Pedestrians in All Weather ConditionsAuthors: Reza Tavasoli; Hem Regmi; Joseph Telaak; Sanjib Sur; Srihari NelakuditiPresenter: Reza Tavasoli; Hem Regmi
- UofSC CSE Research Symposium - 2nd Place Poster ($300 award) (2023)SSCense: A Millimeter-Wave Sensing Approach for Estimating Soluble Sugar Content of FruitsAuthors: Reza Tavasoli; Sanjib Sur; Srihari NelakuditiPresenter: Reza Tavasoli
- Discover USC 2025: Medical Scholar Awards - Populations Outcomes/Quality (Team Award) (2025)Second Place (Ryan Titus, Medical Student): A Novel Approach of Monitoring Stroke Recovery: Contactless Sensor for Gait Speed and Fugl-Meyer Action Duration EstimationRole: Co-author / research collaborator (USC - Prisma Health team)
- AUT Journal of Electrical Engineering - 7 completed reviews (ORCID record; Review date: 2025).
- Journal, Information Processing & Management (Elsevier) - reviewer (ORCID record; Review date: 2025).
- Journal, Engineering applications of artificial intelligence (Elsevier) - reviewer (ORCID record; Review date: 2026)
Wireless Sensing, Healthcare & Autonomous Perception
MiHazeFree3D: 3D Bounding Box Prediction for Vehicles and Pedestrians in Fog and Low-Light Conditions
Abstract WP132: A Novel Approach of Monitoring Stroke Recovery: Contactless Sensor for Gait Speed and Fugl-Meyer Action Duration Estimation
Poster: AutoSense: Reliable 3D Bounding Box Prediction for Vehicles
SugarWave: A Non-destructive Estimation of Fruit Sugar Content Using Millimeter-Wave Sensing
SSCense: A Millimeter-Wave Sensing Approach for Estimating Soluble Sugar Content of Fruits
AI for Education, NLP & Mental Health
AI in Mental Health: Emotional and Sentiment Analysis of Large Language Models' Responses to Depression, Anxiety, and Stress Queries
How Jungian Cognitive Functions Explain MBTI Type Prevalence in Computer Industry Careers
Analyzing the Mathematical Proficiency of Large Language Models in Computer Science Graduate Admission Tests
Evaluating LLMs in Persian News Summarization
LLM Performance Assessment in Computer Science Graduate Entrance Exams
Medical Imaging
Hybrid Vision Transformer for Detection of Dentigerous Cysts in Dental Radiography Images











